检测到您当前使用浏览器版本过于老旧,会导致无法正常浏览网站;请您使用电脑里的其他浏览器如:360、QQ、搜狗浏览器的极速模式浏览,或者使用谷歌、火狐等浏览器。
下载Firefox
俗话说“要想活到老,饭吃七分饱”,而这里的“七分饱”,说的便是受到衰老研究领域广泛认可的一种延长寿命、延缓衰老的方法——卡路里限制(calorie restriction, CR):它是指在不造成营养缺乏的基础上,将食物的摄入量减少到原先的70%左右的饮食方式。卡路里限制的强大之处在于它是目前为止唯一一种在所有被研究过的实验动物——包括酵母、线虫、果蝇、小鼠和灵长类中,都能观察到抗衰老的益处的方法。近年来,在人群的回溯性与实验性研究中,也观察到了卡路里限制能改善衰老相关的肥胖、胰岛素抵抗、肌肉退化、血脂异常和癌症等并发症,并且不影响受试者的生活质量。
然而,尽管卡路里限制有如此广泛的益处,长期的饮食控制在人群中却是难以推广的,尤其是在真正需要延缓衰老的老年人群中,限制饮食还可能造成他们的营养不良和肌肉萎缩。因此,探究卡路里限制抗衰老的“好的一面”,也就是它延缓衰老的具体机制,并在此基础上模拟卡路里限制,最终让人们不用控制饮食,便能达到延年益寿的效果,就是我们追求的目标。目前,已有大量能够模拟卡路里限制的药物——如二甲双胍、白藜芦醇和雷帕霉素等,他们的共同特征都是靶向卡路里限制下游的关键作用蛋白以及通路,达到延寿的目的。然而,机体在真实的卡路里限制中发生了什么改变,这些改变产生了什么信号,又如何传导到上述通路并发挥抗衰老的作用,尚未得到完整的解释,这给我们进一步设计相关的干预策略带来了不小的困难。
学院林圣彩院士团队从卡路里限制小鼠的血清出发,经过代谢组学鉴定和随后的逐个排查,最终找到了卡路里限制的模拟物:石胆酸(LCA),并在线虫、果蝇和小鼠中分别验证了石胆酸延缓衰老、延长寿命的作用。在此基础上,他们又进一步探索,最终找到了石胆酸的分子靶点——TULP3,并发现了TULP3能够通过激活sirtuin-v-ATPase信号轴,激活在卡路里限制中起到延缓衰老关键作用的AMPK(AMP-activated protein kinase)蛋白,从而延缓衰老。相关工作分别以“Lithocholic acid phenocopies anti-ageing effects of calorie restriction”和“Lithocholic acid binds TULP3 to activate sirtuins and AMPK to slow down ageing”为题,以两篇Article的篇幅,发表在Nature期刊上。


研究者们首先确定了经过四个月的卡路里限制的小鼠,其体内的AMPK被充分激活(图1,下,以肌肉为例),这与AMPK在卡路里限制时起到的关键作用相符。然而,研究者们进一步发现在此时,小鼠却并没有发生“低血糖”,也就是血糖并未下降到先前他们发现的、足以激活AMPK的程度(5mM以下):与正常饮食的小鼠在饥饿8小时血糖就降低到4mM(图1,左上)相比,卡路里限制小鼠的血糖至少在5.5mM(图1,右上),这说明卡路里限制所导致的AMPK激活并不因为降低葡萄糖所引起。研究者们于是尝试将卡路里限制小鼠的血清添加到细胞培养液中,的确发现即使在高糖(25mM)的DMEM中,AMPK仍旧能被激活(图2),这说明卡路里限制对AMPK激活的信号存在于血清中。研究者们进一步发现血清透析,去除其中的小分子代谢物,抑制了其对AMPK的激活;而热灭活血清,去除其中的蛋白则无此作用,这说明了卡路里限制后的血清通过其中的小分子激活了AMPK。

图1. 卡路里限制与饥饿对小鼠血糖和肌肉AMPK激活的效果对比

图2. 卡路里限制后的小鼠血清可以激活高糖培养的细胞中的AMPK
研究者们于是进一步利用多种质谱方法(包括液相色谱-质谱,气相色谱-质谱和毛细管电泳质谱联用等),寻找卡路里限制后血清中发生显著变化的小分子代谢物。发现在他们能测得的代谢物中,卡路里限制影响了超过一半的代谢物水平(695个,包括341个极性代谢物和354个脂类),这也和传统的“饮食决定代谢”的观点吻合。研究者于是继续探究是哪些化合物影响了AMPK的激活。他们首先去除了血清中的脂质,发现仍能引起AMPK的激活,于是他们就把重点放在剩下的341个极性代谢物中。在这些代谢物中,有212个水平升高和129个降低:对于升高的代谢物,他们将其直接添加至细胞培养基中,观察其是否能够直接激活AMPK;而对于含量降低的代谢物,他们则假设这些代谢物起到了抑制AMPK的作用(在卡路里限制后,这种抑制作用就被解除)——于是将其添加到了已被卡路里限制的血清激活了AMPK的细胞的培养基中,观察其是否能够反过来抑制AMPK的激活。他们也设计了实验所用的代谢物的浓度:对于已报道了生理浓度的,直接结合卡路里限制后的变化进行选择;未报道生理浓度的,则统一选择10mM作为最高浓度,以此为基准进行下调,就此设定浓度梯度。经过逐个筛选,他们鉴定出了6个代谢物能够激活AMPK,而这其中,只有石胆酸能够在符合卡路里限制后的浓度下(血清中稳定在1μM左右,且不随着进食等条件发生变化;图3,左),激活AMPK(图3,右),而直接对小鼠以及线虫、果蝇等其它模式动物喂食石胆酸后,也能观察到其体内的AMPK被激活。

图3. 卡路里限制小鼠血清中石胆酸含量(左)以及该浓度下石胆酸对AMPK的激活(右)
研究者们于是进一步在线虫、果蝇和小鼠中验证石胆酸是否能模拟卡路里限制的抗衰和延寿效果。通过喂食石胆酸,他们发现线虫和果蝇的寿命显著增加,而且抗氧化应激能力和极端环境下的生存能力(抗逆性)也得到显著的提升(图4)。对于老年小鼠,发现石胆酸喂食一个月后,可以提升其抓握力和跑步能力(图5),同时其肌肉的损伤修复能力也明显提升,这表明石胆酸有促进小鼠肌肉的年轻化的作用。进一步地,在AMPK敲除或敲低的线虫和果蝇(分别为aak-2的线虫和Act5C-GAL4-AMPKα RNAi的果蝇;图4),以及AMPK肌肉特异性敲除的老年小鼠(图5;α-MKO)中,就观察不到石胆酸的上述作用,这说明石胆酸是通过激活AMPK,模拟了卡路里限制的有益作用。有意思的是,作为一种次级胆酸,石胆酸是由肝脏合成的初级胆酸分泌到肠道后,由肠道微生物转化而来;而至少目前,这样的转化机制在线虫和果蝇体中还未被发现。然而即便如此,石胆酸仍能在线虫和果蝇中激活AMPK并延寿,这说明上述动物中有一条保守的AMPK激活通路,维持了健康长寿的有益效果。

图4 石胆酸通过AMPK延长线虫(a)和果蝇(b)的寿命

图5. 石胆酸通过AMPK增加老年小鼠的握力(上)和跑步能力(下)
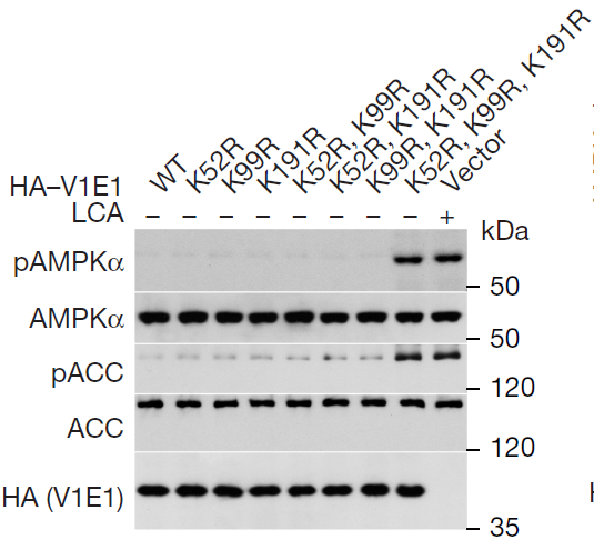
研究者们于是进一步探索石胆酸通过何种通路激活AMPK。他们观察到石胆酸,乃至卡路里限制对于AMPK的激活都不会引起AMP水平的上升,也不会引起细胞钙离子水平的增加,排除了传统的AMP或者钙离子依赖的激活途径。研究者们于是探究了先前他们鉴定出的葡萄糖感知途径即溶酶体途径,的确发现石胆酸是通过该途径激活AMPK的:敲除了溶酶体途径关键蛋白AXIN和LAMTOR1,石胆酸不再能够在细胞中激活AMPK。而鉴于石胆酸和卡路里限制都没有降低血糖到能够启动溶酶体途径的程度的能力——也就是他们先前所鉴定的感知葡萄糖的相关受体和机制都不再适用,研究者们进一步尝试寻找石胆酸靶向溶酶体途径的受体和机制。由于石胆酸能够抑制溶酶体上的质子泵v-ATPase复合体——这是溶酶体途径活化的关键节点,研究者们于是探究了石胆酸对v-ATPase的影响。他们发现,石胆酸显著影响了v-ATPase的翻译后修饰,尤其是乙酰化修饰——在添加了去乙酰化酶抑制剂,使得v-ATPase的乙酰化无法被移除(无法去乙酰化),就能够阻止石胆酸对AMPK的激活。利用蛋白质修饰质谱,他们进一步得到了构成v-ATPase复合体的全部21个(种)亚基的总共263个乙酰化修饰的位点。通过逐一将这些位点突变成R,从而模拟其去乙酰化的方式,他们最终发现,只要同时引入v-ATPase的V1E1亚基的三个位点——K52、K99和K191的突变体(V1E1-3KR),就能够在没有石胆酸处理的条件下抑制v-ATPase,并激活AMPK到和石胆酸处理相当的程度(图6),而在线虫、果蝇和小鼠肌肉中引入V1E1-3KR突变,也能起到激活AMPK和延缓衰老的效果。

图6. 细胞中引入V1E1的突变对AMPK的激活效果
在此基础上,研究者们进一步探索石胆酸是如何引起V1E1的去乙酰化的。已知体内去乙酰化酶主要是由两大家族即SIRTs (sirtuins)家族(有SIRT1到SIRT7七个成员)和HDACs家族(HDAC1到HDAC11)组成,而在细胞中表达任意一个SIRT——尤其是SIRT1,即可以直接激活AMPK。相比较之下,HDACs家族蛋白的表达则无此现象。需要注意的是,SIRTs家族的蛋白之间有较强的redundancy,例如敲除SIRT1,其功能会被其它SIRTs所弥补,因此在细胞中敲除单个SIRT,并不能完全阻断石胆酸对AMPK的激活。研究者们于是将7个SIRT家族蛋白全部敲除,终于检测到了对石胆酸所引起的V1E1的去乙酰化以及对AMPK的激活的完全阻断。作为对照,研究者们还检测了石胆酸对另一个SIRTs(SIRT1、SIRT2和SIRT6)的经典底物——组蛋白H3的K9位点的乙酰化水平 (12-14),结果也表明,石胆酸促进了H3-K9的去乙酰化。因此,石胆酸是通过促进SIRTs的活力,使其去乙酰化V1E1并抑制v-ATPase的活力,从而启动溶酶体途径并激活AMPK。
然而,当研究者们试图进一步在体外重构上述石胆酸促进SIRTs活力的过程时,却遇到了困难:他们发现,尽管原核表达的SIRT1的确能够在体外去乙酰化合成的V1E1多肽,但石胆酸却不能促进这一过程(图7,左)。这和体内得到的结论完全不同,也让研究者们陷入了困境——难道是上述的筛选过程出错了吗?于是,他们把体外系统中的每种成分一步步地“替换”成近似于细胞内的成分,最终发现,当使用从细胞中纯化(免疫沉淀)所得到的SIRT1代替原核表达的SIRT1,或者让原核表达的SIRT1先和细胞裂解液孵育,再加进体外系统中,就能够观察到石胆酸对SIRT1活力的提升了(图7,右)!这意味着SIRT1在体内天然存在着一个“伙伴”:由它来结合石胆酸,再反过来导致SIRT1的激活;而原核表达的SIRT1没有这个“伙伴”的结合,自然也就不能响应石胆酸的调节。

图7. 石胆酸对原核表达SIRT1蛋白(左)以及与细胞裂解液孵育后的、原核表达的SIRT1蛋白(右)的去乙酰化活力影响
为了找到这个“伙伴”,研究者们将与细胞裂解液孵育后的SIRT1进行了蛋白质谱鉴定,鉴定到了1655个SIRT1的潜在相互作用蛋白。研究者们构建了所有这些蛋白的表达质粒,通过逐一在细胞中和SIRT1共表达再进行免疫共沉淀,鉴定出了157个蛋白与SIRT1有直接的相互作用。进一步,研究者们逐一在细胞中敲低了这157个蛋白,最终发现一个名为TULP3的蛋白的敲低几乎可以完全阻断石胆酸对于AMPK的激活。研究者们进一步发现,石胆酸确实可以直接结合TULP3,而分子对接模拟实验则显示出TULP3上有四个位点(Y193, P195, K333和P336),它们通过疏水作用,构成了石胆酸的潜在结合口袋。在TULP3敲除的细胞系中回补突变了这四个位点的TULP3(TULP3-4G)同样阻断了石胆酸对AMPK的激活(图8)。重要的是,在体外加入原核表达的TULP3,就能够观察到石胆酸对SIRT1活力以及对V1E1去乙酰化作用的促进,加入TULP3-4G却不行,这进一步证实了TULP3是石胆酸激活SIRT1从而启动溶酶体途径激活AMPK的靶点。

图8. TULP3敲除阻止了石胆酸对AMPK的激活(左),且回补不结合石胆酸的突变体(TULP3-4G)无法恢复石胆酸对AMPK的激活(右)
最后,研究者在线虫、果蝇和小鼠中分别探究了TULP3-sirtuin-v-ATPase轴对衰老和寿命的影响,类似于AMPK的敲除,他们发现只要将上述物种体内的TULP3敲除,或者引入无法结合石胆酸的TULP3突变体,石胆酸便无法发挥抗衰效果(图9;以小鼠肌肉中敲除TULP3再回补TULP3-4G突变体为例)。

图9. 石胆酸对老年小鼠抓握力(上)和跑步能力(下)的提高依赖于TULP3
综上,林圣彩团队鉴定了一个卡路里限制的模拟物——石胆酸,并解析了石胆酸通过TULP3-sirtuin-v-ATPase-AMPK轴发挥延寿效果的具体机制(图9,右),这一发现补全了机体感知卡路里限制引起的代谢信号并发挥延缓衰老作用的空白。石胆酸是否可以作为新的长寿药物将进行进一步临床验证。同时,对于石胆酸延寿机理的解析也为开发新的长寿药物提供了新的理论和靶点。
回顾起来,林圣彩院士感叹,他的团队从发现(低)葡萄糖感知通路是延长寿命的核心轴 (8-10, 15),到发现该通路除了能感知餐前正常的葡萄糖下降,也介导了二甲双胍的有益功能(图10,左),再到现在加上了卡路里限制的模拟物也就是石胆酸的“借道”(图10,右),他越发觉得AMPK的溶酶体通路是高等生物中的固有的通路,也很可能因为这样重要的生理功能,而在进化上被保留下来。可以说,这是大自然赐予生命的不仅能抵抗饥饿,还能从饥饿中获得益处的“赋能”。

图10. 溶酶体通路全景图
这两篇文章的第一作者瞿琦是厦门大学2014级本科生,于2018年留校攻读硕士,并在2019年转博至今。据林圣彩院士介绍,瞿琦是在2016年,通过厦门大学“大学生创新训练计划”进入他的实验室学习的,从那时起,他就参与了这个工作,为石胆酸及其靶点和机制的鉴定付出了八年半的辛勤努力;尤其是在发现石胆酸并不能直接促进SIRT1的活力,还需要重新寻找其靶点的时候,他没有气馁,而是心无旁骛地又付出了三年半的时间,最终完成了整个机制的发现,也深深地鼓舞了团队的所有人。两篇文章的共同第一作者陈艳和王钰则分别鉴定出了石胆酸及其通路在果蝇、小鼠和线虫中的功能,而第二篇文章的共同第一作者王维澈则承担了SIRTs的相互作用蛋白的筛选和鉴定,他们和林圣彩团队的其它成员一起,都为该工作的研究做出了不可替代的贡献。此外,大连化物所朴海龙研究员和遗传与发育所税光厚教授指导了本文的代谢物鉴定,北京大学姜长涛教授和厦门大学郭浩教授指导、分析了肠道菌群对石胆酸的产生影响,厦门大学俞勇副教授、北京大学刘颖教授和厦门大学刘波教授、郑燚明教授分别指导了线虫和果蝇的相关实验,厦门大学邓贤明教授指导了石胆酸制剂的制作与使用,厦门大学田华雨教授和陈颖教授指导、协助了多个敲入细胞系的构建,厦门大学分析测试中心的多位技术人员承担了本研究的代谢物和蛋白质谱鉴定工作,厦门大学实验动物中心则提供、构建了本研究所用到的小鼠品系。
原文链接:
https://doi.org/10.1038/s41586-024-08348-2;
https://doi.org/10.1038/s41586-024-08329-5
(文/图 林圣彩院士课题组)